Docteur, je vois flou d’un œil
Traction vitréomaculaire et trou maculaire
Voir flou d’un œil, sans douleur, de manière progressive ou soudaine, est un symptôme fréquent en ophtalmologie. Dans de nombreux cas, une cause méconnue peut être en jeu : la traction vitréomaculaire pouvant aboutir à un trou maculaire. Ces affections de la rétine touchent principalement les patients de plus de 50 ans, mais peuvent passer inaperçues si elles ne sont pas dépistées à temps.
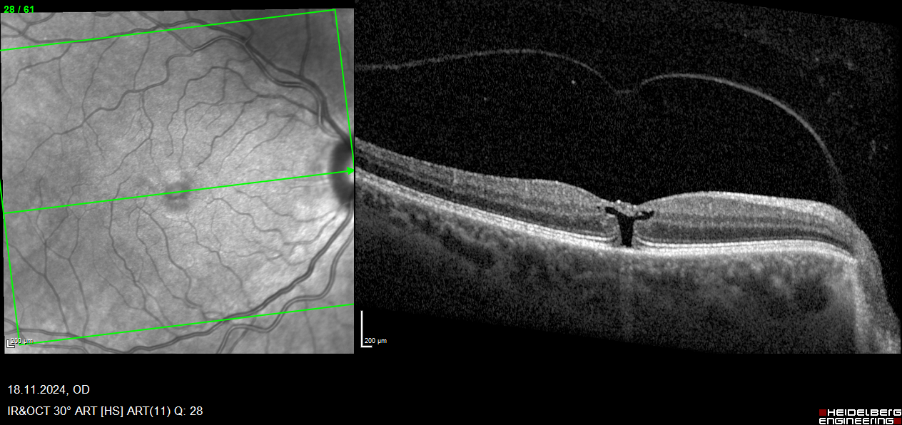
Traction vitréomaculaire avec inversion du profil du centre de la macula appelé fovéa. Normalement, la fovéa présente une dépression en entonnoir qui est ici inversée en raison du gel tirant sur celle-ci.
👁️ Comprendre la vision floue d’un oeil
Lorsque la vision devient floue d’un seul œil, chacune des parties de l’oeil peut être mise en cause. Que ce soit la partie transparente à l’avant de l’oeil (la cornée), le cristallin (Cataracte), la pupille, le gel à l’arrière de l’oeil appelé vitré, la rétine ou le nerf optique, toutes ces structures jouent un rôle fondamental dans une bonne vision.
Un examen minutieux qui débute par un interrogatoire pour comprendre le type de symptômes, son déclenchement et ses symptômes associés est impératif. Il est suivi par une mesure de l’acuité visuel, un contrôle de la pression de l’oeil et un examen au microscope du spécialiste, la lampe à fente. Cet examen s’applique à contrôler que toutes les structures transparentes de l’oeil ne présentent pas d’opacité. Il convient ensuite de dilater les pupilles du patient pour examiner l’arrière de l’oeil qui inclut le gel transparent remplissant la cavité oculaire, appelé le vitré, et la rétine ainsi que le nerf optique visible à travers la pupille à l’aide d’une loupe grossissante.
🔬 Qu’est-ce que la traction vitréomaculaire (TVM) ?
Avec l’âge, le gel vitré se remplit d’eau (phénomène appelé synérèse) et son architecture se retrouve modifiée. Cela va induire un rétrécissement du vitré qui va progressivement se décoller de la rétine en exerçant une traction sur ses points d’attache. Ce détachement commence par la zone centrale de la rétine, appelée macula, responsable de la vision fine (lecture, reconnaissance des visages…). La traction va entrainer un décollement du gel sur toute la macula. Toutefois, dans certains cas, il arrive que le centre de la macula reste attachée formant une adhérence vitréomaculaire (AVM). Si cette adhérence persiste dans le temps, l’adhérence peut entrainer une déformation du centre de la macula (appelée fovéa) et évoluer vers une traction vitréomaculaire (TVM).
Les symptômes d’une traction vitréomaculaire sont liés à la déformation de la rétine et se définissent par:
-
Vision floue au centre
-
Image déformée (métamorphopsie)
-
Difficulté à lire ou à distinguer les détails

❓ Qu’est-ce qu’un trou maculaire ?
Le trou maculaire est une conséquence possible d’une traction maculaire. Il s’agit d’une perte de substance au centre de la rétine.
POUR EN SAVOIR PLUS : Une confusion existe entre les stades précoces de trous maculaires et les tractions vitréomaculaires. En effet, avant l’air de l’imagerie moderne (OCT) et des classifications associées, on confondait volontiers les tractions vitréomaculaires induisant une perte des couches externes avec les stades précoces de trous maculaires où le toit de la fovéa étaient conservés. Depuis, on parle uniquement de trous maculaires lorsqu’il y a un trou impliquant toutes les couches de la fovéa.
Cas clinique expliquant la traction vitréomaculaire et son lien avec un trou maculaire
Observer l’évolution chez ce patient qui nous consulte pour vision brouillée et déformée.
Diagnostic de traction vitréomaculaire récemment relâchée – Acuité visuelle 10%
2 semaines – Acuité visuelle 30%
1 mois – Acuité visuelle 50%
3 mois – Acuité visuelle 80%
6 mois – Acuité visuelle 100%
(Le patient a fourni son consentement pour la diffusion des images ci-dessus.)
🧪 Diagnostic : l’importance de l’OCT
Le diagnostic repose sur un examen d’imagerie non invasif : l’OCT (tomographie par cohérence optique). Il permet de visualiser précisément :
-
La macula et particulièrement son centre appelée la fovéa
-
La présence d’adhérences vitréennes
-
Les déformations éventuelles de la rétine
- La présence d’un trou maculaire
Chez Frivision, notre centre est équipé des dernières générations d’OCT pour un dépistage précis et rapide.
🩺 Traitement et suivi
Les tractions vitréomaculaires évolue rarement spontanément vers la résolution. Dans le cas présenté ci-dessus, le patient a eu la chance d’avoir la traction levée ce qui a conduit à la résolution de la béance et a empêché son évolution vers un possible trou maculaire.
Au cas par cas, le chirurgie vitréo-rétinien décidera si une chirurgie vitréo-rétinienne (vitrectomie) est indiquée pour boucher un trou maculaire et/ou libérer une traction persistante et responsable d’une acuité abaissée ou de déformation des caractères lors de la lecture.
📅 Quand consulter ?
Vous devriez consulter rapidement un ophtalmologue si vous présentez :
-
Une baisse de vision centrale à un œil
-
Des lignes droites qui semblent onduler
- Une tâche grise ou sombre au centre de la vision
👨⚕️ Chez Frivision, une expertise au service de votre vue
Nos ophtalmologues à Fribourg sont spécialisés dans les pathologies rétiniennes liées à l’âge, et assurent un accompagnement personnalisé pour chaque patient.
Nous accueillons les adultes dès 4 ans et les seniors dans un centre moderne, équipé de technologies de pointe, avec un accès facile et un suivi rapide.
👉 Prenez rendez-vous en ligne sur www.frivision.ch ou contactez-nous pour un examen de la rétine.


